凝汽器膠球清洗裝置中凝汽器換熱器生銹堵塞清洗污垢分析?
一般采用凝汽器膠球清洗裝置的生產廠家,
都會出現像某公司低溫多效蒸餾海水淡化蒸發器前7效(蒸發效)主要采用銅鋁合金換熱管,每效上部三排采用鈦管,末效(冷凝效)采用鈦管。海水進水首先在末效冷凝器內與換熱管束外的蒸汽進行換熱,在蒸汽被冷凝的同時,海水被預熱;部分被預熱的海水作為補給水噴淋到前7效換熱管束外,在管內蒸汽被冷凝的同時,管外部分海水被蒸發,前一效蒸發產生的蒸汽作為后一效的熱源。
低溫多效蒸餾海水淡化技術是指在真空情況下,鹽水的最高蒸發溫度低于70℃的淡化技術,其特征是將一系列的水平管噴淋降膜蒸發器串聯起來,用蒸汽輸入通過多次的蒸發和冷凝,后面一效的蒸發溫度均低于前面一效,從而得到多倍于蒸汽量的蒸餾水的淡化過程。
凝汽器膠球清洗裝置中經過多年的運行,該海水淡化裝置一直未清洗過,產量逐漸下降了10%左右。檢修時發現:
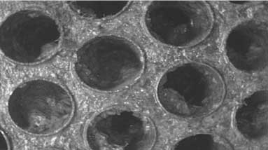
1)蒸發器前7效(尤其第1效)上部銅管表面附著有一層均勻的水垢沉積物,見圖1,厚度約0.5mm,底部銅管表面附著一層較厚的硬質水垢沉積物,部分區域形成水垢掛體并塞滿換熱管縫隙,不銹鋼內壁附著一層水垢掛體,部分區域厚度達到10mm,垢樣分析主要成分為硫酸鈣,并有部分碳酸鈣;
2)末效鈦管內有薄薄的一層水垢沉積物,并有黏泥雜質形成的沉積物,以及藻類、貝類等雜物,垢樣分析主要成分為碳酸鈣,見圖2。
結垢原因是:海水脫硫排水口與海水淡化取水口距離太近,導致海水淡化進水中含有大量的硫酸根;40℃時CaSO4在水中的溶解度最大,預熱后的海水噴淋到前7效換熱管外壁后,隨著海水溫度升高及蒸發,硫酸鈣濃度逐漸增大,當其濃度超過溶解度之后會生成沉淀析出,并沉積在傳熱表面上,從而形成致密堅硬的硫酸鈣垢。在前7效垢樣中加入鹽酸,有少量無味氣體放出,并且該垢樣并不能完全溶解,在剩余的殘渣中加入硫化鋇液體,則殘渣幾乎全部溶解,證明該垢樣成分主要硫酸鈣,并有部分碳酸鈣。前7效垢樣主要成分見圖3。由于結垢物質及換熱管材質的不同,采用前7效與末效冷凝器分開的清洗方式,其中前7效采用酸洗+中性清洗(螯合劑清洗)方式;末效采用酸洗方式。
凝汽器膠球清洗裝置中前7效清洗時,首先采用酸洗,以除去硫酸鈣以外的大部分水垢,考慮到銅鋁合金管壁較薄,且垢層厚薄不均勻,需要選擇腐蝕性小,又有較好的清洗效果的酸性清洗劑,所以酸洗清洗劑選擇氨基磺酸。其后采用中性清洗劑進行螯合清洗,該清洗劑主要包含螯合劑、表面活性劑、聚合物,對垢表面潤濕、滲透,改變垢晶體結構,使垢膨化疏松,便于通過水流攜帶出系統。前7效采用蒸發器自身的循環系統進行清洗。首先在循環清洗液中加入銅緩蝕劑,由于銅緩蝕劑呈堿性,所以循環清洗液呈堿性。隨后不斷地向系統中注入淡化水,以增大循環水量,由于淡化水呈弱酸性,所以循環清洗液pH值逐漸降低,直至接近淡化水的pH值(約6左右)。此時階段循環清洗液中的總硬較平穩,在200mg/L左右。第230min時,開始向系統中注入710清洗劑,由于710清洗劑是一種復合型有機酸類清洗劑,清洗機理主要是通過與無機鹽、金屬氧化物等形成螯合物。故在加入710后,其首先與清洗液中的鈣離子反應,使清洗液中的鈣離子逐漸降低,直至為零。第320min時,開始向系統中注入氨基磺酸,pH值迅速下降,第375min時,降低至1.5,停止注酸。隨著氨基磺酸的注入,碳酸鈣垢開始分解,清洗液中的Ca2+濃度迅速增大,由于碳酸鈣垢分解消耗了大量的酸,pH值也迅速上升。第400min時,清洗液中的總硬達到1150mg/L,pH值上升至4.5,并再次向系統中注入氨基磺酸。隨著酸的注入,pH值再次迅速下降,總硬繼續上升。第415min時,pH值下降至1.5,停止注酸。第435min時,總硬1450mg/L,pH值略上升至1.7,此后,總硬、pH值相對平穩,說明清洗終點到達,停止酸洗。酸洗前后的結垢情況,見圖4、圖5。
酸洗前換熱管上的垢比較密實、堅硬,且垢層較厚,而酸洗后換熱管上的垢大部分垢已去除,剩余的垢比較疏松,并且蒸發器底板上有大量黃白色晶體,說明碳酸鈣垢已經除去,剩余的垢主要為硫酸鈣垢,并有部分硫酸鈣垢因碳酸鈣垢的溶解及水流沖刷而掉落到底板上。所以需對蒸發器進一步清洗,以去除硫酸鈣垢。此次選用硫酸鈣清洗劑是一種中性的螯合物,對金屬不會造成化學腐蝕。按照酸洗階段的方式進行循環清洗,在清洗過程中不斷加入清洗劑,清洗終點為兩次清洗劑的質量分數分析結果差不大于0.2%。
清洗后,前7效蒸發器換熱管外表面與末效冷凝器換熱管內表面都清潔、光滑,無明顯附著垢,無點蝕及二次浮銹,并有致密氧化膜,見圖6~圖7。

末效的清洗先用高壓水槍沖洗黏泥以及藻類、貝類等雜物,再采用酸洗,以除去碳酸鈣垢,清洗劑選用鹽酸。末效冷凝器將蒸發器末效進出口1m彎頭拆掉,在法蘭處增加盲板,在盲板上連接DN100管道,管道與酸洗車進出口進行連接,構成循環酸洗回路,見圖8。
首先加入緩蝕劑,調整清洗液pH值至1.5左右,在酸洗過程中,為了防止過洗現象,要求不斷注入鹽酸,保持pH值在1~2之間。在開始階段,由于鹽酸與碳酸鈣劇烈反應,消耗大量的鹽酸,15min后,pH值升值2.6左右,隨著鹽酸的不斷注入,pH值逐漸呈下降趨勢。第345min時,pH值下降至最低點1.35,停止注入鹽酸,隨后pH值略為上升,最后穩定在1.5左右,說明酸洗終點達到。在整個酸洗過程中,總硬不斷上升,最終達到850mg/L左右,并且長時間保持穩定,時間正好與pH值終點吻合,從另一方面說明酸洗終點達到。
末效換熱管清洗前后效果見圖9、圖10。

在酸洗過程中,掛入與清洗系統中材質相同的腐蝕監測試片,采用失重法測定平均腐蝕率及總腐蝕量。酸洗后,各效掛片平均腐蝕率及總腐蝕量結果如圖11。
可以看出,各效掛片平均腐蝕速率都小于1g/m2·h,總腐蝕量都小于10g/m2,都優于《工業設備化學清洗質量標準》(HG/T2387-2007)及《腐蝕試樣的制備、清洗和評定標準》要求。
海水淡化蒸發器酸洗后,各項參數均在設計標準范圍內,單套海水淡化產量提高了10%。